Enquiries: 0161 877 5575
Email: dentechnica@hotmail.co.uk

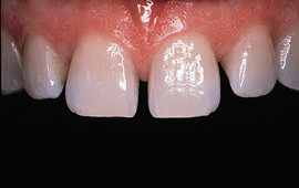
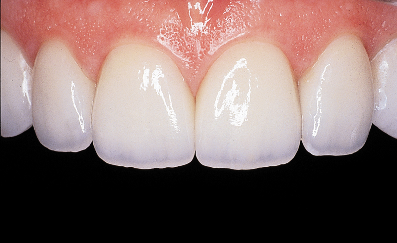
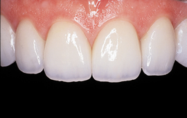
Veneers and Makeovers

For a Natural Lifelike Appearance

Contact us to find out more about our 'Smile Design Services'


LOVE YOUR TEETH


About Dentechnica Dental Laboratory, Manchester
Dentechnica dental laboratory is situated in Salford quays Manchester close to the BBC’s new media city home. Established in 1987 we have built up a reputation for quality craftsmanship and outstanding customer service. Our personal service is as individual as you and your patients and establishing close working relationships with our clients lets us achieve the success we have.
Contact Dentechnica
Please contact us for further information relating to all our laboratory services.

CONTACT US >


Accreditations:
Accreditations
Accreditations
Accreditations
Accreditations