Enquiries: 0161 877 5575
Email: dentechnica@hotmail.co.uk

Case Studies

Dentechnica Success Stories

Manchester based dental laboratory and dental technicians support dentistry across the whole of the UK. We specialise in restorative and implant work.


LOVE YOUR TEETH


A full reconstruction case study

November 2011

The staff at Dentechnica could not have been more helpful, they are a hugely talented team who can work wonders with teeth.

I was referred to Dentechnica by my dentist ... Nervous about the process and still unsure that I was doing the right thing I went along for my first consultation. Within minutes I felt confident that Dentechnica could not only improve my smile but create some really positive results, any fears I had about the process and the surgery were quickly forgotten and I became excited about the journey we were about to embark on.

Support was offered throughout the entire process, from designing my new teeth to fitting them, with all of my questions answered and useful advice offered along the way.

I couldn't be happier with the end result, I now have a smile that looks natural and healthy and is frequently complimented.

If you're thinking of embarking on dental surgery I couldn't recommend a more professional, talented and supportive team.

Thank you Dentechnica!

Rebekah Crabtree

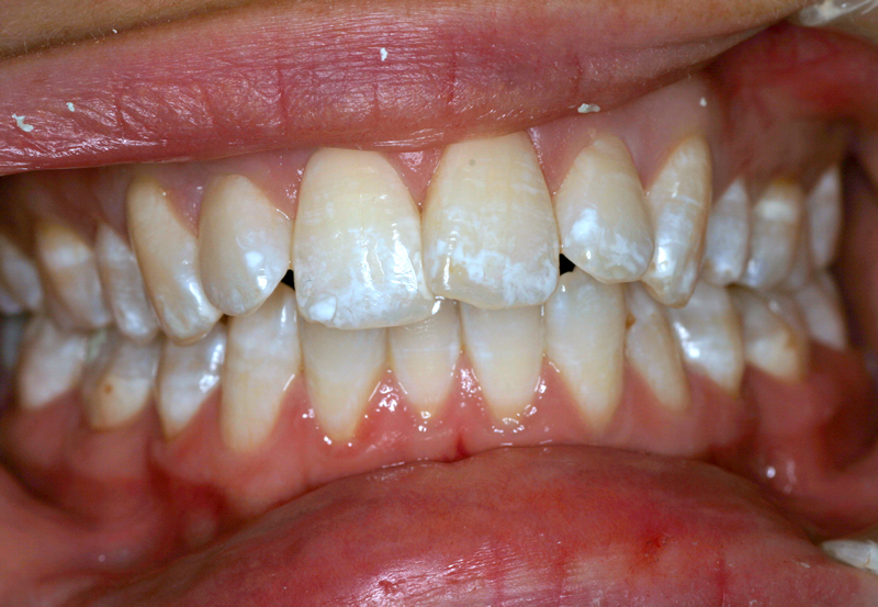
This patient shows extensive decalcification.

After full upper and lower Zirconia crown reconstruction.

Complete reconstruction gives a confident happy smile.



An emax veneer case study

March 2012

This is a 21 year old girl who at a check up appointment happen to mention to her surgeon that her upper right lateral always appeared dark on photographs. He suggested having an emax veneer which was fitted without any preparation of the tooth as it was slightly instanding and was being ‘shadowed’ by the adjacent teeth. The photographs show preoperative and post operative situations from a similar angle.

Amy

This patient shows an instanding lateral.

Even arch restored with e-max veneer.

Click for testimonials
Click for customer services
Click for contact details
About Dentechnica Dental Laboratory, Manchester
Dentechnica dental laboratory is situated in Salford quays Manchester close to the BBC’s new media city home. Established in 1987 we have built up a reputation for quality craftsmanship and outstanding customer service. Our personal service is as individual as you and your patients and establishing close working relationships with our clients lets us achieve the success we have.
Contact Dentechnica
Please contact us for further information relating to all our laboratory services.

CONTACT US >


Accreditations:
Accreditations
Accreditations
Accreditations
Accreditations