Enquiries: 0161 877 5575
Email: dentechnica@hotmail.co.uk

Complete Reconstruction

Create the smile you always wanted

Contact us for diagnostic and treatment planning services


LOVE YOUR TEETH


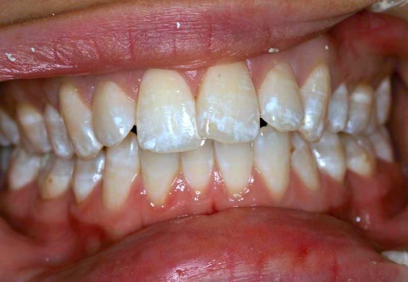
This patient shows extensive decalcification.

After full upper and lower Zirconia Crown Reconstruction.

Complete Reconstruction gives a confident happy smile.

Happily ever after.

A comprehensive range of dental services.

Full Mouth Reconstruction

Restoring a patients smile from severely damaged or worn dentition is the most difficult but challenging aspects of the job but careful treatment planning and occlusal management from laboratory and dentist will ensure long term success. We provide diagnostic and treatment planning services to ensure the most predictable outcomes in cases of full mouth reconstruction.

About Dentechnica Dental Laboratory, Manchester
Dentechnica dental laboratory is situated in Salford quays Manchester close to the BBC’s new media city home. Established in 1987 we have built up a reputation for quality craftsmanship and outstanding customer service. Our personal service is as individual as you and your patients and establishing close working relationships with our clients lets us achieve the success we have.
Contact Dentechnica
Please contact us for further information relating to all our laboratory services.

CONTACT US >


Accreditations:
Accreditations
Accreditations
Accreditations
Accreditations